+919354188631
Currently it only shows your basic business info. Start adding relevant business details such as description, images and products or services to gain your customers attention by using Boost 360 android app / iOS App / web portal.

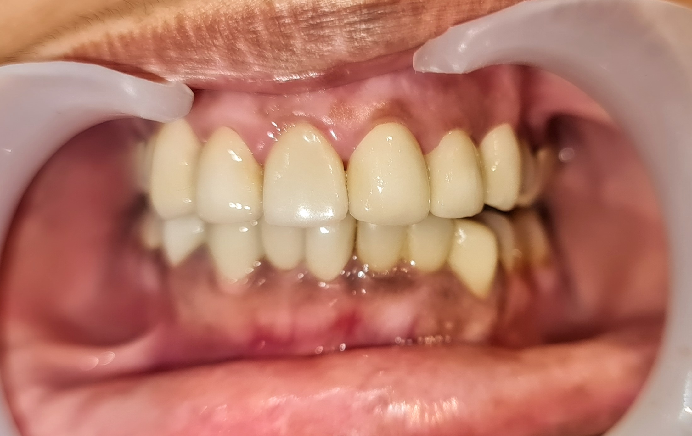
Best Zirconia Crowns in Rohini Sector 11! Zirconia Crowns are one of the best options to mimic the natural teeth and give you a natural and beautiful smile. At Smiles For All , The Best Dental Clinic in Rohini Sector 11 we have the Best Digital Smile Designing treatment option to give you that Perfect Smile.